2025年9月の記事一覧

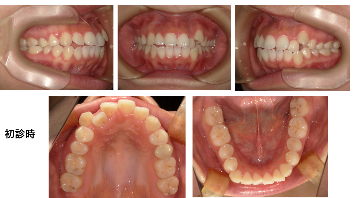
矯正症例135 AngleⅠ級叢生
初診時21歳、治療期間2年8か月、抜歯部位:上下顎左右4番、治療費総額121万(税込み)歯列矯正には以下のリスクを伴う場合があります。1最初は矯正装置による不快感、痛み等があります。数日間~1、2 週...

デタラメ矯正(床矯正)の犠牲者が来院
中学3年の女の子が母親と同伴で矯正の相談に当院へ来院しました。母親の説明により、以下の経緯が判りました。小学1年から中学1年まで床矯正した。中1でこれ以上できないからと他院へ紹介された。紹介先の歯科...

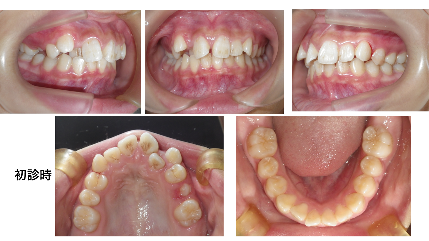
矯正症例134 AngleⅡ級2類
初診時13歳、抜歯部位:上顎左右4番、下顎左右5番、治療期間3年8か月、治療費総額112万円(税込み)歯列矯正には以下のリスクを伴う場合があります。1最初は矯正装置による不快感、痛み等があります。数日...
最新記事
- 矯正症例135 AngleⅠ級叢生
- デタラメ矯正(床矯正)の犠牲者が来院
- 矯正症例134 AngleⅡ級2類
- 矯正症例133 AngleⅡ級1類 上顎前突、能代市、北秋田市、大館市、秋田市
- マウスピース矯正(非抜歯拡大矯正)に注意その3
カテゴリー
- 矯正症例(87)
- 矯正ブログ(21)
- 矯正(7)
- 歯列矯正のセカンドオピニオン症例(3)
- 矯正に役立つ話(9)
- デタラメ矯正(7)
- インプラント(47)
- インプラントのセカンドオピニオン症例(1)
- 審美歯科(15)
- 文献を読むシリーズ(1)
- 院長の戯言(8)
- 定期検診(4)
- 保険診療(3)
- ホワイトニング(4)
- 入れ歯(6)
- その他(3)
- レーザー(1)
- 虫歯治療(1)
- 未指定(39)