当院は医療広告ガイドラインを遵守しています。
新着一覧

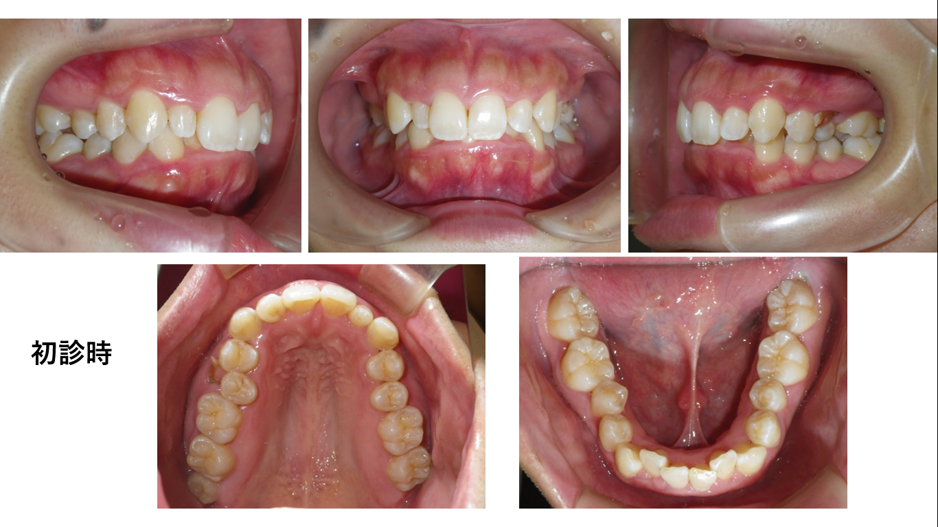
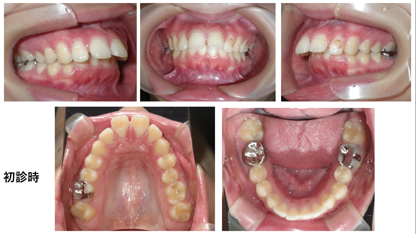
矯正症例143 AngleⅡ級2類
治療開始年齢24歳、治療期間3年、抜歯部位:下顎左右5番、上顎左右4番、治療費総額1,310,000(税込み)歯列矯正には以下のリスクを伴う場合があります。1最初は矯正装置による不快感、痛み等がありま...

矯正症例142 AngleⅠ級、上顎前突
初診時24歳、性別:女性、治療期間2年8か月、抜歯部位:上顎左右5番、下顎左右4番,治療費総額1,030,000円(税込み)この症例も患者さんから症例掲載の許可を得ています。 抜歯するかしないかで悩ん...

矯正症例141 AngleⅠ級 上下顎前突、ガミースマイル、口ごぼ
初診時15歳、治療期間3年、抜歯部位:上下顎4番、8番、治療費総額102万円(税込み)この症例も患者さんからHP掲載の許可を得ています。歯列矯正には以下のリスクを伴う場合があります。1最初は矯正装置に...

矯正症例 140 AngleⅠ級上下顎前突、舌側矯正,口ゴボ,裏側矯正
治療開始年齢29歳3か月、治療期間3年3か月、抜歯部位:上下顎左右4番、下顎左右8番、上顎右側8番、治療費総額¥1,580,000(税込み)口蓋正中部にアンカースクリュー除去の跡があることでわかる通り...

矯正症例139 AngleⅠ級叢生、下顎8番埋伏歯の牽引
初診時30歳、抜歯部位:上顎左側5番、下顎右4番,左側5番、下顎右側7番、治療期間3年7か月、治療費総額113万(税込み)上顎右側犬歯は抜歯されていました。初診の下顎右側7番が銀歯ですが、動的治療終了...

マウスピース矯正からワイヤー矯正へ、ってか?
どうやら、マウスピース矯正を始めた、にわか矯正歯科医はマウスピースでは治せない症例が圧倒的に多いと気付いて、今慌ててワイヤー矯正のセミナーを受講しているそうです。しかもそのような方が爆増していいるそう...

歯ぎしりのある患者にインプラントをして14年経過
この患者さんは歯ぎしりが原因で上顎左側3,4番を欠損となり、そこにインプラント入れました。就寝時はナイトガードの使用が必要となります。写真はナイトガードが破損したので新製の為に来院されたので写真を撮ら...

矯正症例138 AngleⅡ級1類 上下顎前突、口ゴボ
初診時19歳8か月、抜歯部位:上顎左右4番、下顎左右5番、上下顎左右8番、治療期間4年6か月、治療費総額¥959,200円(税込み)この症例も患者さんから許可を得て出しています。向かって左が初診時、右...

矯正症例137 AngleⅠ級叢生
治療開始年齢:32歳、抜歯部位:上下顎左右4番、治療期間3年6か月、治療費総額¥1,122,000(税込み)この症例も抜歯が必要な症例です。このような症例にも「マウスピース矯正なら抜歯せず並びます」と...

矯正症例136 AngleⅠ級叢生
初診時13歳抜歯部位上顎左右4番、下顎左右4番、治療期間2年8か月、治療費総額112万円(税込み)歯列矯正には以下のリスクを伴う場合があります。1最初は矯正装置による不快感、痛み等があります。数日間~...
最新記事
- 矯正症例143 AngleⅡ級2類
- 矯正症例142 AngleⅠ級、上顎前突
- 矯正症例141 AngleⅠ級 上下顎前突、ガミースマイル、口ごぼ
- 矯正症例 140 AngleⅠ級上下顎前突、舌側矯正,口ゴボ,裏側矯正
- 矯正症例139 AngleⅠ級叢生、下顎8番埋伏歯の牽引
カテゴリー
- 矯正症例(95)
- 矯正ブログ(22)
- 矯正(7)
- 歯列矯正のセカンドオピニオン症例(3)
- 矯正に役立つ話(9)
- デタラメ矯正(7)
- インプラント(48)
- インプラントのセカンドオピニオン症例(1)
- 審美歯科(15)
- 文献を読むシリーズ(1)
- 院長の戯言(7)
- 定期検診(4)
- 保険診療(3)
- ホワイトニング(4)
- 入れ歯(6)
- その他(3)
- レーザー(1)
- 虫歯治療(1)
- 未指定(39)