2025年12月の記事一覧

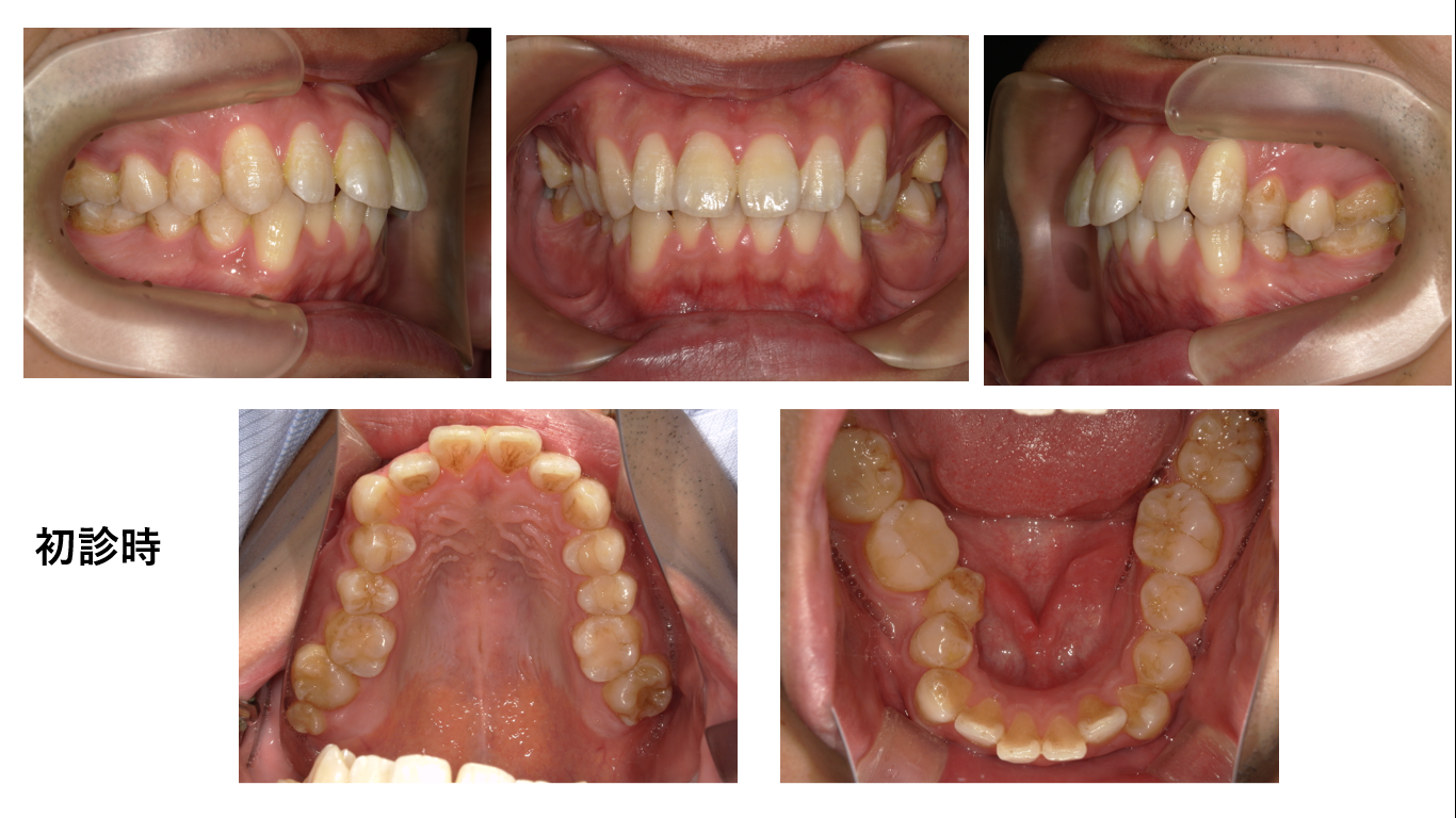
矯正症例 140 AngleⅠ級上下顎前突、舌側矯正,口ゴボ,裏側矯正
治療開始年齢29歳3か月、治療期間3年3か月、抜歯部位:上下顎左右4番、下顎左右8番、上顎右側8番、治療費総額¥1,580,000(税込み)口蓋正中部にアンカースクリュー除去の跡があることでわかる通り...
最新記事
- 矯正症例 140 AngleⅠ級上下顎前突、舌側矯正,口ゴボ,裏側矯正
- 矯正症例139 AngleⅠ級叢生、下顎8番埋伏歯の牽引
- マウスピース矯正からワイヤー矯正へ、ってか?
- 歯ぎしりのある患者にインプラントをして14年経過
- 矯正症例138 AngleⅡ級1類 上下顎前突、口ゴボ
カテゴリー
- 矯正症例(92)
- 矯正ブログ(22)
- 矯正(7)
- 歯列矯正のセカンドオピニオン症例(3)
- 矯正に役立つ話(9)
- デタラメ矯正(7)
- インプラント(48)
- インプラントのセカンドオピニオン症例(1)
- 審美歯科(15)
- 文献を読むシリーズ(1)
- 院長の戯言(8)
- 定期検診(4)
- 保険診療(3)
- ホワイトニング(4)
- 入れ歯(6)
- その他(3)
- レーザー(1)
- 虫歯治療(1)
- 未指定(39)